Is Alcohol Bad for Your Dental Health?

Alcohol contributes to more than three dozen illnesses and chronic diseases, among them cancer, heart disease, and diabetes [1]. We know that alcohol isn’t the best beverage for our bodies—but what about for our teeth? [...]

By | March 13th, 2020|Categories: Uncategorized|Tags: , , , |Comments Off on Is Alcohol Bad for Your Dental Health?

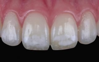
Do You Have White Spots on Your Teeth?

If you have areas on your teeth that appear more white than the rest of your smile, you may be wondering what’s going on. White spots, lines, or streaks on the teeth are typically the [...]

By | February 13th, 2020|Categories: Uncategorized|Tags: , , , |Comments Off on Do You Have White Spots on Your Teeth?

Five Fast Facts Regarding Invisalign Treatment

Getting your teeth and bite corrected has benefits beyond your appearance. A straight smile is easier to clean, reduces the risk of jaw disorders such as TMJ, and can even decrease your chances for teeth [...]

By | January 15th, 2020|Categories: Uncategorized|Tags: , , |Comments Off on Five Fast Facts Regarding Invisalign Treatment

TMJ Case Study: Katrina

Katrina came to Orangevale Dental complaining of a clicking noise when she opened and closed her mouth and tenderness near her ears, where the temporomandibular joint (TMJ) is located. She had no other complaints, but Dr. Alaswad took [...]

By | January 3rd, 2020|Categories: Uncategorized|Tags: , , , , , , |Comments Off on TMJ Case Study: Katrina

Heartburn and Indigestion: Protect Your Smile this Holiday Season

If you’re frequently experiencing heartburn and indigestion, you could actually be suffering from acid reflux. Acid reflux, also known as gastroesophageal reflux disease, or GERD, is a condition in which acids used in the stomach to [...]

By | December 9th, 2019|Categories: Uncategorized|Tags: , , , , , |Comments Off on Heartburn and Indigestion: Protect Your Smile this Holiday Season

Are You a Candidate for All-on-Four Implants?

If you’re missing all of your natural teeth, you could be a candidate for All-on-Four dental implants. Dental implants are designed to replace your natural missing teeth and help prevent bone loss in your jaw [...]

By | November 27th, 2019|Categories: Uncategorized|Tags: , , , |Comments Off on Are You a Candidate for All-on-Four Implants?
 
Skip to content